《搜索:》 - 山东省济宁市第一人民医院
首页
医院概况
就诊指南
教学科研
天使之窗
党群工作
人事信息
医院公告
科普园地
质量提升
四送四进四提升
新闻中心
优质服务 亮点推荐
安全生产
公益一院
一院成就
杨际平工作室
东院区展示
媒体聚焦
百年历史
医院动态
医疗特色
西院区展示
新技术新项目
食品安全
快捷导航
员工园地
特色门诊
养肝护肝,爱护我们的“小心肝”
大家好,我是大家的小心肝肝脏,现代医学认为我是人体最大的消化...
2024-04-23 16:02
了解斑秃
斑秃,在民间也被称为鬼剃头,通常是指原来好好的头发突然出现了...
2024-04-23 16:00
颈部无痕甲状腺手术新选择,带你了解经锁骨下入路无充气全腔镜甲状腺手术
近日,张先生因单位查体发现 甲状腺结节 ,行甲状腺结节穿刺活...
2024-04-24 15:58
异常子宫出血:常见烦恼不可轻视
异常子宫出血是一种常见的妇科疾病,它可能由多种因素引起,包括...
2024-04-24 15:56
破茧成蝶,为胚胎着床插上翅膀——胚胎辅助孵化技术
一、什么是 辅助孵化 ? 辅助孵化就是通过人工方式在透明带上...
2024-04-24 15:53
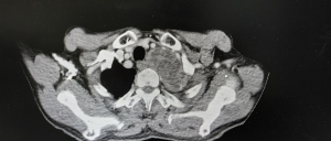
【一院技术】颈胸交界处长出直径10多公分巨瘤, 济宁市第一人民医院胸外科成功切除
巨大纵隔肿瘤是一类发病率较低,容易漏诊的疾病,手术风险高、难...
2024-04-24 15:50
公共信息监测与应对处置服务项目竞争性磋商公告(二次)
根据医院工作安排,近期对我院公共信息监测与应对处置服务项目进...
2024-04-24 08:31
手术缝线竞争性磋商公告
我院招标委员会拟定于近期为我院相关科室招标手术缝线(投标公司...
2024-04-23 09:12
济宁市第一人民医院2024年度放射人员职业健康体检服务项目竞争性磋商公告
济宁市第一人民医院2024年度放射人员职业健康体检服务项目,...
2024-04-23 09:45
济宁市第一人民医院2024年度放射工作人员个人剂量监测服务项目竞争性磋商公告
济宁市第一人民医院2024年度放射工作人员个人剂量监测服务项...
2024-04-23 09:44
共 1120 页/11199条记录
首页
上页
212
213
214
215
216
下页
末页