《搜索:》 - 山东省济宁市第一人民医院
首页
医院概况
就诊指南
教学科研
天使之窗
党群工作
人事信息
医院公告
科普园地
质量提升
四送四进四提升
新闻中心
优质服务 亮点推荐
安全生产
公益一院
一院成就
杨际平工作室
东院区展示
媒体聚焦
百年历史
医院动态
医疗特色
西院区展示
新技术新项目
食品安全
快捷导航
员工园地
特色门诊
济宁市第一人民医院技能训练模型采购项目中标公示
一、项目名称:济宁市第一人民医院技能训练模型采购项目 二、项...
2023-03-27 11:10
济宁市第一人民医院护士鞋、防护拖鞋采购项目中标公示
一、项目名称:济宁市第一人民医院护士鞋、防护拖鞋采购项目 二...
2023-03-27 11:09
济宁市第一人民医院东院区一期病房楼及医师培训基地楼顶发光字采购及安装项目中标公示
一、项目名称:济宁市第一人民医院东院区一期病房楼及医师培训基...
2023-03-27 11:08
四位院士领衔,助力周围神经疾病诊治高水平发展 中国医师协会第一届周围神经专业委员会医师年会在济宁成功举办
3月25日,由中国医师协会、中国医师协会周围神经专业委员会主...
2023-03-25 20:44
中国医师协会第一届周围神经专业委员会医师年会
中国医师协会第一届周围神经专业委员会医师年会...
2023-03-25 18:57
医用耗材竞争性磋商公告(三次)
我院招标委员会拟定于近期为我院相关科室招标以下设备、器械(递...
2023-03-24 10:38
3月23日招标项目中标公示
2023年3月23日开标结果公告如下: 项目名称 中标单位 ...
2023-03-24 10:30
济宁市第一人民医院争创文明典范城市 构建良好就医环境
医院是打造民生幸福的重要场所,也是体现城市文明的重要窗口。为...
2023-03-23 09:27
【一院·人物】推窗已是满目春——记济宁市第一人民医院耳鼻咽喉-头颈外科副主任刘春秀
春日春景春色新。在洒满和煦阳光的济宁市第一人民医院东院区,我...
2023-03-23 09:25
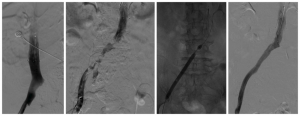
【一院·技术】下肢肿胀险截肢 元凶竟是“股青肿”,济宁市第一人民医院血管外科成功为患者取栓保肢
近日,济宁市第一人民医院血管外科深夜急症收治了一位下肢肿胀的...
2023-03-23 09:23
共 1120 页/11199条记录
首页
上页
364
365
366
367
368
下页
末页