《搜索:》 - 山东省济宁市第一人民医院
首页
医院概况
就诊指南
教学科研
天使之窗
党群工作
人事信息
医院公告
科普园地
质量提升
四送四进四提升
新闻中心
优质服务 亮点推荐
安全生产
公益一院
一院成就
杨际平工作室
东院区展示
媒体聚焦
百年历史
医院动态
医疗特色
西院区展示
新技术新项目
食品安全
快捷导航
员工园地
特色门诊
科研门诊预约流程
为提高我院科研水平,帮助科研工作者答疑解惑,科研部组织院内外...
2021-09-07 02:07
学术论文备案流程
学术论文备案流程...
2021-09-07 02:03
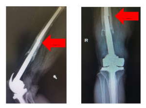
技术硬实力!济宁市第一人民医院成功开展高难度肿瘤膝关节假体翻修术
近日,济宁市第一人民医院骨关节外科成功为一名肿瘤假体人工膝关...
2021-09-06 17:38
济宁市第一人民医院西院区ICU过渡季空调采购及安装工程竞争性磋商公告
济宁市第一人民医院西院区ICU过渡季空调采购及安装工程经有关...
2021-09-06 16:54
济宁市第一人民医院援鄂一线医务人员公开招聘拟聘用人员公示
根据《济宁市第一人民医院援鄂一线医务人员公开招聘简章》规定,...
2021-09-06 16:28
可回收输液瓶(袋)及可回收透析桶服务项目招标公告(二次)
根据医院工作安排,近期对我院可回收输液瓶(袋)及可回收透析桶...
2021-09-06 10:49
【我为群众办实事】济宁市卫健系统“三下沉三提升”实践活动 助力基层卫生人才能力再提升
9月3日,济宁市卫生健康系统三下沉三提升系列活动之2021年...
2021-09-03 10:19
2019-2021年新技术、新项目—中医科
1. 新技术新项目名称: 推拿治疗青少年近视 简介: 近年来...
2021-09-06 09:14
奇迹!“折叠人”复原了 依托市一院3D打印技术,身高0.9米的她恢复到1.5米
严重强直性脊柱炎后凸畸患者,身体慢慢弯曲成150度,俗称折叠...
2021-09-03 08:46
济宁市第一人民医院9月3日招标项目中标公示
我院 2021 年 9 月3日开标结果公告如下: 项目名称 ...
2021-09-03 10:19
共 1120 页/11199条记录
首页
上页
591
592
593
594
595
下页
末页