- 24小时服务电话
- 0537-6056666
-
微信服务号
-
微信订阅号
-
微信视频号
-
抖音号

新闻中心
近日,医院小儿外科团队在一周内,成功完成两例高难度先天性胆总管囊肿根治性手术。两例患儿均为低龄幼儿,手术过程顺利,术后恢复良好,均已康复出院。手术的成功开展标志着医院小儿外科腹腔镜技术水平已达区域领先。
直面挑战:精准施治,护航稚嫩生命
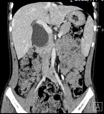
先天性胆总管囊肿是一种较少见但危害严重的胆道先天畸形,可能导致胆汁淤积、反复胆管炎、胰腺炎,并有远期癌变风险。根治性切除囊肿并重建胆道是唯一有效的治疗方法。然而,幼儿腹腔空间小、组织器官娇嫩、血管胆管纤细,手术操作犹如“精雕细琢”,对主刀医生的技术、经验以及整个麻醉、护理团队的配合都提出了极高要求。


术中,手术团队在放大数倍的高清视野下,精细分离、完整切除了巨大的胆总管囊肿,并成功实施了“肝总管-空肠Roux-en-Y吻合术”,在彻底去除病灶的同时,为患儿建立了通畅、符合生理的胆汁引流通道。整个手术过程如行云流水,出血量极少,最大程度保护了周围稚嫩的组织结构。
精诚协作:多学科合力,托起生命希望
手术的成功离不开强大团队的支持。手术麻醉中心为患儿实施了精准、安全的儿科专属麻醉管理,全程守护生命体征平稳。护理团队术前术后给予了专业细致的照护与健康指导。病理科、医学影像科等科室提供了快速准确的诊断支持。正是这种无缝衔接的多学科协作模式(MDT),为复杂患儿的救治铺设了安全高效的“绿色通道”。
术后,在小儿外科快速康复(ERAS)理念指导下,两名患儿恢复迅速,顺利度过围手术期,腹痛等症状消失,饮食、活动很快恢复正常,生活质量得到根本改善。
仁心传承:深耕小儿外科,守护区域儿童健康
一周内连续攻克两例复杂手术,并非偶然。这背后是医院小儿外科数十年如一日的深厚积淀与持续创新。科室长期专注于小儿普外、新生儿外科、小儿微创外科等领域,尤其在胆道畸形、消化道畸形、泌尿系畸形、腹腔肿瘤等复杂疾病的诊断与手术治疗方面形成了显著特色和优势。科室始终坚持“以患儿为中心”,将最先进的技术与最温暖的关怀相结合,力求让每一个孩子都能得到最优化、个体化的治疗。
温馨提示:家长若发现孩子出现反复腹痛(尤其右上腹)、黄疸、腹部包块或无明确原因的发热,需警惕胆道系统疾病可能,应及时到正规医院小儿外科就诊,早诊断、早治疗是关键。